Preventivne aktivnosti o sigurnosti prometa u Belom Manastiru

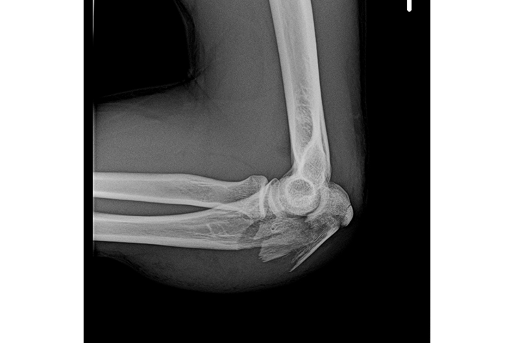
Našim aktivnostima se kao partner pridružio Klinički bolnički centar Osijek, koji objašnjenjem ozljeda i prikazom RTG snimaka ukazuje na česte situacije nastanka teških tjelesnih ozljeda nakon pada s e-romobila

FOTO: PU osječko-baranjska i KBC Osijek

Policijske službenice za prevenciju pri Uredu načelnika Policijske uprave osječko-baranjske jučer su u suradnji s policijskom službenicom za prevenciju Policijske postaje Beli Manastir u Belom Manastiru provele preventivne aktivnosti sukladno projektima „Sigurnost u cestovnom prometu“ i „Biciklirajmo, biciklističkom“.
 
U okviru kontinuiranih napora za povećanje sigurnosti svih sudionika u prometu, policijske službenice proveli su preventivnu aktivnost usmjerenu na vozače osobnih prijevoznih sredstava (romobila) i bicikala, s posebnim naglaskom na djecu i mlađe sudionike u prometu.
 
Cilj aktivnosti je bio potaknuti vozače romobila i bicikala na pravilno i odgovorno sudjelovanje u prometu, kao i podići svijest o važnosti korištenja kako zaštitne opreme i korištenja svjetala u uvjetima smanjene vidljivosti danju i noću uz nošenje reflektirajućih prsluka ili odjeće, kao i poštivanja prometnih propisa čime direktno pridonose vlastitoj sigurnosti, kao i sigurnosti svih sudionika u prometu.
 
Tijekom provedbe aktivnosti, policijske službenice su na nekoliko lokacija pratile ponašanje sudionika u prometu te su svi koji su se pridržavali prometnih pravila nagrađeni reflektirajućim prslucima, dok su u znak zahvalnosti i poticanja na odgovorno ponašanje djeci podijeljena svjetla za dječje bicikle, koje je osigurao Grad Beli Manastir sukladno Sporazumu s Policijskom upravom osječko-baranjskom. Vozačima koji se nisu pridržavali prometnih pravila uručeni su informativni leci u kojima su opisana pravila i propisi koji se odnose na vozače bicikala i osobnih prijevoznih sredstava.
 
Teške tjelesne ozljede nakon padova
Ovakve preventivne aktivnosti dio su šireg plana podizanja prometne kulture, smanjena broja prometnih nesreća s ozlijeđenim vozačima bicikala i osobnih prijevoznih sredstava, kao i padova prilikom gubitka ravnoteže, najčešće zbog neprilagođene brzine kretanja djece i mladih, kojom prilikom dolazi do težih tjelesnih ozljeda poput frakture lubanje, kostiju ruku, nogu i drugih dijelova tijela, a što se edukacijom i informiranjem želi u budućnosti spriječiti kako bi takvih ozljeda bilo sve manje. Našim aktivnostima se kao partner pridružio Klinički bolnički centar Osijek, koji objašnjenjem ozljeda i prikazom RTG snimaka ukazuje na česte situacije nastanka teških tjelesnih ozljeda nakon pada s e-romobila.
 
Ovom prilikom se zahvaljujemo svim građanima koji svakodnevno svojim ponašanjem doprinose sigurnosti na cestama te pozivamo sve da i dalje poštuju prometna pravila i vode računa o vlastitoj sigurnosti i sigurnosti drugih sudionika u prometu.


 

Stranica